2024年5月29日
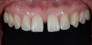
症例写真
術前口腔内写真 術後口腔内写真

【治療の詳細】
・28歳女性
・治療内容 ノンプレップラミネートべニア
・治療期間 2ヵ月
・治療費用 自由診療14万円
・治療詳細
歯を削らないラミネートべニアによる治療をおこなった。歯を削らないため、歯の健康を保つことができます。
【注意事項】
・症例の効果は個人差があります。同様の効果が現れない場合があります。
・事前のカウンセリングより、検査結果をよくお聞きになっていただき、ご理解を深めた上での治療が大切です。
・歯周病、虫歯の程度、歯の本数によって、治療結果、費用は変わりますので、術前の診査診断が大切です。
・全身疾患を有する場合にも、治療に注意が必要な場合がありますので、術前に診査診断が必要です。
・ラミネートべニアのデメリットとして、歯の切削により、歯を削らない場合に比べて、歯の寿命が短くなる可能性があります。個人差があります。
・ホワイトニング治療中に歯が染みる場合がありますが、歯が弱くなることはありません。。時間とともに多少の後戻りがあります。
当院では、患者さんが抱えていらっしゃるお口のお悩みや疑問・不安などにお応えする機会を設けております。どんなことでも構いませんので、私たちにお話ししていただけたらと思います。
ご興味がある方は下記からお問い合わせください。
