「世界に評価」される専門治療
次の方にお勧め
- インプラント
- 前歯のセラミック治療
- 重度の歯周病


9月18日から20日にかけて、モナコで開催された EAO & SFPIO合同会議。
これは、ヨーロッパを代表するインプラント・歯周病の国際学会で、世界60か国以上からトップレベルの歯科医師や研究者が集う大規模な学術会議です。
この舞台で、当院院長・丹野努が「Labial Root Torque(歯の傾きを調整する動き)を活用したインプラント部位の開発」について発表し、大きな注目を集めました。
今回、日本から発表者として登壇したのは丹野ただ一人。
ヨーロッパの権威ある学会に認められた技術を、これからも地域の患者さんの治療に活かしてまいります。


CT撮影、パノラマ撮影、セファロ撮影が可能です

県外/海外からも来院されます
「小山駅」徒歩5分
東京駅から40分上野駅から35分大宮駅から16分



「違い」を感じにお越しください。
100年間変わらないのは、 「治したい」という純粋な気持ち
当院には、お子さん~成人~高齢者の方、そして次の理由で
県外や海外からも来院されます。
これは、歯科技術を競う世界コンテストで数々の賞を受賞
したことが知られるようになったため。
そして「治したい」という純粋な気持ちが皆さんに
伝わった結果です。
丹野歯科で世界レベルの歯科治療を体験してください。
As Far As Possible



ACTIVE IN THE WORLD

医療法人ゆたか会 理事長丹野歯科医院 医院長










栃木県小山市で100年以上続く歯医者「丹野歯科医院」の院長、丹野努はインプラント治療、特に矯正治療と組み合わせた高度な歯科治療において世界トップレベルの歯科医として米国インプラント学会やインプラント全国大会で最優秀賞を受賞するなど、世界中から表彰、賞賛されています。また当院では複数の歯科衛生士が患者さんの治療後のメンテナンスを実施。院内に専用の歯科技工所を設けているので、美しく、機能的で、審美性の高いセラミック、入れ歯などの補綴の創造が可能です。小山駅から徒歩5分。駐車場を25台分完備しているのでお車での来院も可能です。

小山市はもちろん宇都宮などの栃木県内の全域、さらには東京や大宮など他県からも
患者が来院する丹野歯科医院は、20代から50代までの成人を中心に幼児から小学生、
中高生などの10代や、65歳以上の高齢者の方まで全ての世代に対応しています。

単なる小児歯科ではなく、機能的な歯並びを生涯保つための改善まで考慮した歯科治療を実施しています。

重度の歯周病からインプラントと矯正、さらには審美性までを組み合わせた高度な治療を実施。

噛めない入れ歯、合わない入れ歯などの治療を実施。天然歯のように美しいオリジナルの義歯・入れ歯の制作も可能です。
丹野歯科医院の治療は金属アレルギーの患者さんにも対応


皆さんおっしゃいます。
「こんな歯医者に早く出会いたかった」と。
世界基準の設備、技術を揃え、患者さんの「こうしたい」を実現させます。
01
説明×理解×同意が基本です
02
人間の「限界」を知り「精密機器」を活用する姿勢が大切
当院にはCTやマイクロスコープ等の様々な精密機器があります。
一部をご紹介します。






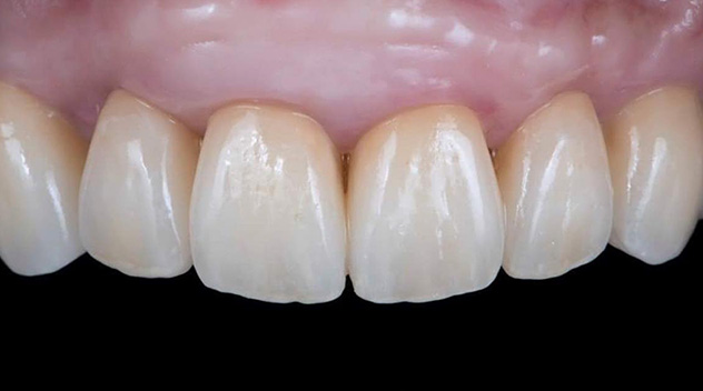
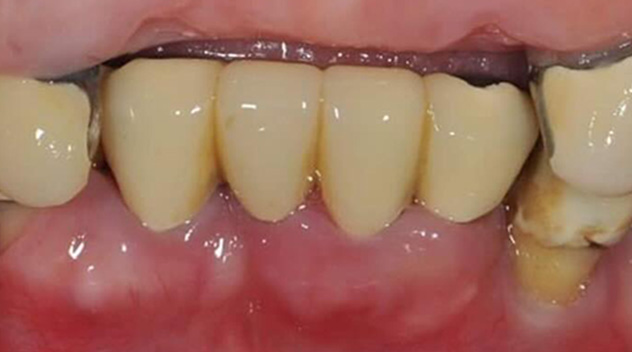
矯正×インプラント×審美×歯周病

栃木県小山市の歯医者「丹野歯科医院」では虫歯治療や根管治療などの一般歯科はもちろん、
他の歯科医師が受けたがる矯正治療と連動したインプラント治療や
「口元が若返った」と好評の審美治療、ボロボロの歯でも対応可能な重度の歯周病治療など
専門治療で世界から高い評価を受けています

安心の10年保証
10,000症例を手掛けた国際口腔インプラント学会「指導医」が在籍
オールオン4や抜歯即時荷重法でその日から噛める歯が手に入ります。

顎の骨を増やす骨造成により、対応できないと言われたケースでも対応可能です。


難症例でも対応可能
5000症例以上の矯正実績歯並びだけでなく「キレイな横顔」も
コルチコトミー法や光加速装置を活用し、短期矯正治療を実現。

マウスピース矯正、表側矯正、裏側矯正、部分矯正、後戻り矯正等に対応。


口元が10歳若返る
30000症例以上の実績3.3万円で白い歯も可
薄いセラミックを貼り付けるノンプレップラミネートべニア法に対応。

クラウンレングスニング法という治療法でガミースマイル治療も可能。


重度歯周病でも諦めないで
歯周組織再生療法で抜歯と言われる歯でも残す
矯正を取り入れることで、見た目の改善、歯周ポケット減少を達成できます。

状況に応じてレーザー殺菌や投薬で治療する方法も実施します。

「こうなりたい」その想い、叶えます
ご要望をお聞かせください。
そのご要望を「叶える」のが私たちの仕事です。
一切の遠慮はいりません。
またセカンドオピニオンにも対応しています。
治療の選択肢を増やすため、上手にご利用ください。

クレジット、電子マネー、デンタルローンに対応。

また、「デンタルローン」は最大120回までの分割にも対応しています。
栃木県小山市の歯医者「丹野歯科医院」のWEBサイトをご覧いただき誠にありがとうございました。当院では虫歯から歯周病や根管治療、抜歯を回避する治療、削らないブリッジ治療、銀歯を目立たなくする白い詰め物/被せ物、歯並びまで整う小児歯科、顎関節症/食いしばり/歯ぎしり、親知らずの抜歯、予防歯科、ホワイトニングなどの治療は元より、All-on-4にも対応するインプラント治療やボロボロの歯の改善治療、再生治療、前歯などの審美治療、成人矯正、小児矯正治療、目立たないマウスピース矯正、ハイブリット矯正、見た目が美しい入れ歯、ガミースマイルの改善、フェイスライン/Eラインの改善など高度な専門治療まで総合歯科としてあらゆる治療に対応しています。当院は小山市内はもちろん、宇都宮、大宮、東京など市外・県外から、さらには当院の専門治療を受けに海外からも患者さんが来院されます。JR小山駅から徒歩5分。宇都宮駅から電車で25分、大宮駅や上野駅からだと40分程でご来院いただけます。お車でお越しの方でも駐車場を25台分完備しているのでご安心ください。
