「大人の歯がない?」
先天性欠如という状態かもしれません。
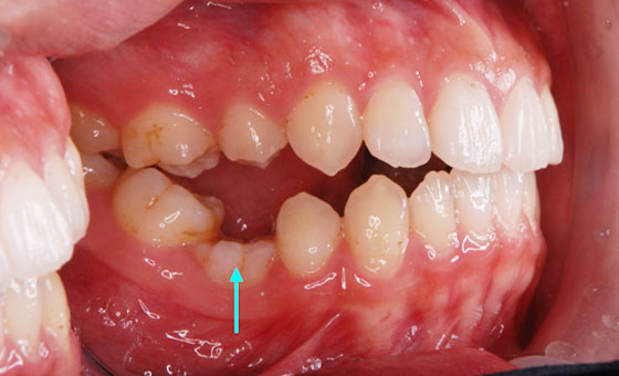
「子供の歯」が残っている。
「大人の歯」が生えてこない。
そのままにせず、当院にご相談ください。

「子供の歯」が残っている。
「大人の歯」が生えてこない。
そのままにせず、当院にご相談ください。

子供の歯が大人の歯に生え変わる時期は個人差がありますが、通常6歳から7歳頃です。
しかし、中にはなかなか生え変わらないケースには以下の原因があります。
【主な原因】
①永久歯が存在しない
一部の子供たちには、生まれつき大人の歯がない場合があります。
②永久歯はあるが、生えてこれない
歯茎が厚すぎて永久歯が適切に生えてこれない場合があります。
または、邪魔な歯(過剰歯)が存在することにより、永久歯が適切に生えてこれないケースもあります。
②のケースでは、邪魔な歯を抜くことで大人の歯が生えてくることがありますが、
①の場合は先天的なものであるため、対処法も異なります。

通常、成長と共に子供の歯から大人の歯に生え変わります。しかし、「先天性欠如」の場合、押しのける大人の歯がないため、子供の歯がそのまま残ってしまいます。
その場合、子供の歯は虫歯になりやすく、歯の根は徐々に吸収されるため、20歳から40歳までには自然に抜けることがありますが、抜けた状態を放置すると、周囲の歯が移動したり傾いたりして、歯並びや噛み合わせが悪化します。
これにより、口の健康が損なわれ、あごの発育にも悪影響を及ぼす可能性があります。また、顎関節症などの問題も引き起こすなどの可能性もありますので、放置せず適切な時期に必要な処置を受けることが重要です。
治療法としては、一般的には矯正療法、インプラント、入れ歯、ブリッジが選ばれることが多いですが、患者さんの年齢やお口の状態によって異なります。
10代までの方には「矯正治療」がおすすめです。
永久歯が生えそろった際に、問題となる子供の歯を抜き、歯並びと噛み合わせを整えます。症例によっては、矯正のための装置を全く使用せずに9歳ごろから治療を始められることもあります。
最適な治療時期は12歳〜18歳くらいまでです。10代であれば、顎の骨がまだ柔らかく、歯を効果的に動かせるため、治療期間を短縮するのが比較的容易です。


先天性欠如を 矯正治療で改善させた症例です。
歯列の中央(真ん中の軸)が先天的な欠損により片方の前歯で不均等になっていましたが、治療により上下の中央が調整されました。[治療期間:2年/治療費用:154万円]


成人になっても乳歯が抜けなかったため、乳歯を抜歯し。抜歯したスペースが完全に閉じ、かみ合わせも改善されました。
[治療期間2.5年/治療費用137.5万円]


当院では、患者さんが抱えていらっしゃるお口のお悩みや疑問・不安などにお応えする機会を設けております。どんなことでも構いませんので、私たちにお話ししていただけたらと思います。
ご興味がある方は下記からお問い合わせください。
